Headache? Earache?
Wisdom teeth
- Must all wisdom teeth be removed?… No! Each case has its own merits. We definitely do not want wisdom teeth to be routinely removed before treatment and also not afterwards, except if they cause trouble
- Please note…Even if there are no symptoms it does not mean that they might not give you problems later.
- In many cases the wisdom teeth will erupt later without complications, however, it is important to have x-rays taken at a regular basis to monitor for possible changes or pathology. (Once a year initially and less later by agreement.)
- Our policy is, if in doubt, the patient’s health has priority. In such cases it is desirable to have the wisdom teeth removed.
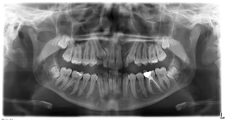
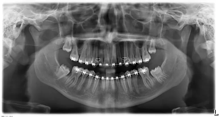
In this case the wisdom teeth were intentionally retained so that healthy molar teeth could be brought into position after extraction(removal) of four decayed molar teeth. Before and after.

Before

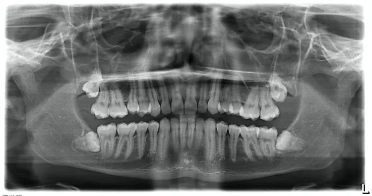
Before
In this case the impacted wisdom teeth are in close proximity of a major nerve. If there are no symptoms present, it may be wise to leave them in position. However, it would be advisable to take an X-ray every 3-4 years to determine that no unwanted changes are taking place.

