Common Problems Requiring Braces
Underbite
An underbite is characterized by the lower jaw extending out,causing the lower front teeth to sit in front of the upper front teeth.

Spacing
Spacing problems may be caused by missing teeth and may be a cosmetic and aestethic issue.

Upper Front Teeth Protrusion
The appearance and function of your teeth are impacted by this type of bite. It is characterized by the upper teeth extending too far forward or the lower teeth not extending far enough forward.

Crowding
Crowding occurs when teeth have insufficient room to erupt. Crowding can often be corrected with expansion or tooth removal.

Crossbite
The upper teeth sit inside the lower teeth, which may cause tooth stratification and misaligned jaw growth.

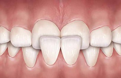
Overbite
The upper front teeth extend out over the lower front teeth, sometimes causing the lower front teeth to bite into the roof of the mouth.

Openbite
Proper chewing is impacted by this type of bite, in which the upper and lower front teeth do not overlap.Openbite may cause a number of unwanted habits,such as tongue thrusting.

Dental Mid-lines Not Matched
This type of problem is caused where the back bite does not fit and match appropriately, which may negatively impact jaw and proper dental function.

